7.05.20 АУТОФАГИЯ КАК СРЕДСТВО ОБНУЛЕНИЯ ОРГАНИЗМА
"Аутофагия — это механизм очищения на клеточном уровне в результате длительных пауз в питании. Эти паузы должны продолжаться не менее 16 часов. Этого достаточно, чтобы омолаживать клетки, увеличивать продолжительность жизни, стимулировать процесс аутофагии — в переводе с греческого это «самопоедание», в данном случае — поедание ненужного. А что в нашем организме ненужное? Поломанные белковые молекулы, метаболиты, гликированные белки, многое, что требует вывода. Аутофагия — это очень простой и надежный способ избавляться от всего этого метаболического хлама. Бесплатный и относительно безопасный. У него практически нет противопоказаний, это доказательная медицина, есть масса исследований. На самом деле человечеству уже давно известны полезные свойства периодического голодания, постов, разгрузочных дней. Открытие японских ученых стали только научным доказательством и объяснением того, как это работает».
НО! Если воздержание от еды ДОЛГО не прекращается, то аутофагия уничтожает клетку в целом. ОСТОРОЖНО!
К сведению: Есинори Осуми изучает аутофагию на примере грибков — дрожжей, некоторые испытания проводил на мышах. Люди в его исследованиях участия не принимали. Да, в клетках человеческого организма тоже протекают процессы аутофагии, но по другим принципам. И никакого отношения к методике интервального голодания нобелевский лауреат не имеет — это ученый подтвердил https://volga.news/article/531889.html
https://volga.news/article/531889.html- статья об интервальном воздержании от еды.
----------------------------------------------------------

Более того, мы часто просим людей не есть без конца!
Делать перерывы в приеме пищи.
Как показывает практика, большинство людей питается хаотично. У них нет четко установленного завтрака и ужина. Вечером они вообще могут перед телевизором есть семечки, печенье, в лучшем случае яблоки.
Рот у людей просто не закрывается.
Я у одной пациентки спросила: «Вы действительно хотите есть, когда едите после ужина?». В ее случае мы даже не говорили о фастинге. У нее было установлено время ужина на 19-20 часов — неужели в 22:00 уже хочется есть? «Нет, Наташа, есть я действительно не хочу, мне просто скучно во рту», — вот такой был ее ответ.
Большинству украинцев действительно «скучно во рту», и они бездумно поглощают пищу, и иногда основная калорийность рациона приходится именно на такие перекусы.
Когда мы говорим о фастинге, мы, собственно, говорим о четких паузах в питании и тем самым приводим в порядок прием пищи. Для многих польза уже в этом!
16/8 — самая удобная модель для реализации во всех отношениях, а в контексте физиологии человеческого организма — самая гуманная.
Когда мы работаем с медицинскими программами, например, пытаемся снизить уровень сахара в крови, такие паузы становятся сами по себе лекарством для такого человека.
Потому что благодаря паузе в 5-6 часов между завтраком, обедом и ужином, а потом — паузой в 12-16 часов, можно снижать уровень инсулина и избавляться инсулиновой резистентности даже лучше, чем на препаратах.
16/8 — самая удобная модель для реализации во всех отношениях, а в контексте физиологии человеческого организма — самая гуманная. И для многих людей, а это важно, она позволяет не «выпадать» из социальной жизни, адаптируя пищевое окно к своему графику ивентов, встреч и тому подобное.
В периоды отказа от пищи уровень глюкозы в крови падает, а значит, снижается и выработка инсулина, который отвечает за ее транспортировку к тканям.
Для организма человека это означает, что поступление питательных веществ прекратилось и необходимо переключиться в режим выживания — начинается выработка глюкагона. Основная функция этого гормона — стимуляция аутофагии.
В среднем, чтобы сжечь все углеводы, съеденные в течение дня и сохраненные в виде гликогена, необходимо 8-12 часов.
Действительно, при длительном отказе от пищи метаболизм замедляется.
В случае же отказа от пищи в течение 12-72 часов метаболизм, наоборот, ускоряется.
В среднем, чтобы сжечь все углеводы, съеденные в течение дня и сохранены в виде гликогена, необходимо 8-12 часов.
Только после этого в организме запустятся процессы аутофагии.
Это означает, что любое голодание должно продолжаться не менее 12 часов.
Голоданием более 3 дней можно нанести существенный вред организму, ведь во время отказа от пищи клетки не получают необходимый набор микроэлементов, что может вызвать ослабление иммунитета и нарушение работы внутренних органов.
https://nestarenie.ru/autofagiya.html -сайт о старении

„ Интервального голодания я придерживалась исключительно в качестве эксперимента, но то, как мое тело и организм в целом отреагировали, было решающим, чтобы оно стало основой моего режима питания. “
Чтение онлайн не нашла... жаль...
------------------------------------------------------------------
При острой нехватке питательных веществ утилизация не слишком нужных структур, например, хвоста — приемлемая альтернатива! На самом деле Уроборос — более глубокий символ: змей, пожирающий собственный хвост, означает обновление и вечность
„ Аутофагия - это очень простой и надежный способ избавляться от всего этого метаболического хлама. Бесплатный и относительно безопасный. “
Подробнее: https://www.labirint.ru/books/699433/
АУТОФАГИЯ ПРЕДОТВРАЩАЕТ РАЗВИТИЯ БОЛЕЗНИ АЛЬЦГЕЙМЕРА
Ученые выяснили: те, кто выбирает плотный завтрак и менее плотный обед, теряют вес быстрее, чем те, кто завтракает мало и обедает много.
Аутофагия (дословно «самопоедание») – процесс, происходящий в клетках.
Белки, которые «неправильно» свернулись, старые органеллы, вирусы и бактерии, которые могли поглотить клетки иммунной системы, попадают в лизосомы и подвергаются уничтожению
"Аутофагия — это механизм очищения на клеточном уровне в результате длительных пауз в питании. Эти паузы должны продолжаться не менее 16 часов. Этого достаточно, чтобы омолаживать клетки, увеличивать продолжительность жизни, стимулировать процесс аутофагии — в переводе с греческого это «самопоедание», в данном случае — поедание ненужного. А что в нашем организме ненужное? Поломанные белковые молекулы, метаболиты, гликированные белки, многое, что требует вывода. Аутофагия — это очень простой и надежный способ избавляться от всего этого метаболического хлама. Бесплатный и относительно безопасный. У него практически нет противопоказаний, это доказательная медицина, есть масса исследований. На самом деле человечеству уже давно известны полезные свойства периодического голодания, постов, разгрузочных дней. Открытие японских ученых стали только научным доказательством и объяснением того, как это работает».
НО! Если воздержание от еды ДОЛГО не прекращается, то аутофагия уничтожает клетку в целом. ОСТОРОЖНО!
К сведению: Есинори Осуми изучает аутофагию на примере грибков — дрожжей, некоторые испытания проводил на мышах. Люди в его исследованиях участия не принимали. Да, в клетках человеческого организма тоже протекают процессы аутофагии, но по другим принципам. И никакого отношения к методике интервального голодания нобелевский лауреат не имеет — это ученый подтвердил https://volga.news/article/531889.html
https://volga.news/article/531889.html- статья об интервальном воздержании от еды.
----------------------------------------------------------
Ёсинори Осуми Запись 2020 01 17 с переводом на рус.яз 
Открытая лекция «Аутофагия и особенности голодания, продлевающего жизнь»
Наш организм способен сам себя очистить от токсинов и даже стать моложе после голодания. За это невероятное открытие в 2016 году 71-летний японский ученый Ёсинори Осуми получил Нобелевскую премию. Открытие, которое сделал Ёсинори, основано на механизме аутофагии. Этот процесс представляет собой систему утилизации и переработки ненужных клеточных частей.
Аутофагия, по мнению ученого, вполне может использоваться для борьбы с деменцией и раком.

Более того, мы часто просим людей не есть без конца!
Делать перерывы в приеме пищи.
Как показывает практика, большинство людей питается хаотично. У них нет четко установленного завтрака и ужина. Вечером они вообще могут перед телевизором есть семечки, печенье, в лучшем случае яблоки.
Рот у людей просто не закрывается.
Я у одной пациентки спросила: «Вы действительно хотите есть, когда едите после ужина?». В ее случае мы даже не говорили о фастинге. У нее было установлено время ужина на 19-20 часов — неужели в 22:00 уже хочется есть? «Нет, Наташа, есть я действительно не хочу, мне просто скучно во рту», — вот такой был ее ответ.
Большинству украинцев действительно «скучно во рту», и они бездумно поглощают пищу, и иногда основная калорийность рациона приходится именно на такие перекусы.
Когда мы говорим о фастинге, мы, собственно, говорим о четких паузах в питании и тем самым приводим в порядок прием пищи. Для многих польза уже в этом!
16/8 — самая удобная модель для реализации во всех отношениях, а в контексте физиологии человеческого организма — самая гуманная.
Когда мы работаем с медицинскими программами, например, пытаемся снизить уровень сахара в крови, такие паузы становятся сами по себе лекарством для такого человека.
Потому что благодаря паузе в 5-6 часов между завтраком, обедом и ужином, а потом — паузой в 12-16 часов, можно снижать уровень инсулина и избавляться инсулиновой резистентности даже лучше, чем на препаратах.
16/8 — самая удобная модель для реализации во всех отношениях, а в контексте физиологии человеческого организма — самая гуманная. И для многих людей, а это важно, она позволяет не «выпадать» из социальной жизни, адаптируя пищевое окно к своему графику ивентов, встреч и тому подобное.
В периоды отказа от пищи уровень глюкозы в крови падает, а значит, снижается и выработка инсулина, который отвечает за ее транспортировку к тканям.
Для организма человека это означает, что поступление питательных веществ прекратилось и необходимо переключиться в режим выживания — начинается выработка глюкагона. Основная функция этого гормона — стимуляция аутофагии.
В среднем, чтобы сжечь все углеводы, съеденные в течение дня и сохраненные в виде гликогена, необходимо 8-12 часов.
Действительно, при длительном отказе от пищи метаболизм замедляется.
В случае же отказа от пищи в течение 12-72 часов метаболизм, наоборот, ускоряется.
В среднем, чтобы сжечь все углеводы, съеденные в течение дня и сохранены в виде гликогена, необходимо 8-12 часов.
Только после этого в организме запустятся процессы аутофагии.
Это означает, что любое голодание должно продолжаться не менее 12 часов.
Голоданием более 3 дней можно нанести существенный вред организму, ведь во время отказа от пищи клетки не получают необходимый набор микроэлементов, что может вызвать ослабление иммунитета и нарушение работы внутренних органов.
Аутофагия - Autophagy
«Частный случай аутофагии — митофагия, когда убираются поврежденные митохондрии — энергетические станции клетки, — говорит Валерий Зинченко, заведующий лабораторией внутриклеточной сигнализации Института биофизики клетки РАН. — Многие наши болезни связаны с тем, что митохондрии в клетках не выдерживают нагрузки, например, при гипоксии и ишемии. Такая клетка должна погибнуть, а оказывается, есть механизм, который позволяет не убивать клетку, а убрать только митохондрию, не справившуюся со своей работой».
Механизм аутофагии
Нобелевские дрожжи
Есинори Осуми изучал аутофагию на примере дрожжей, которые он использовал в качестве модельного организма для поиска генов, контролирующих клеточное самоедство. «Его открытие связано не столько с самой аутофагосомией — этот процесс был известен и раньше, сколько с методами ее анализа», — отметила Елена Свирщевская.
Аутофагия — быстрый процесс: аутофагосома живет около 10 минут, после чего сливается с лизосомой. В лаборатории Осуми идентифицировали гены, отвечающие за работу этого механизма, и выделили основной из них. Затем ученые вывели мышей, у которых белок, кодируемый этим геном, был связан с зеленой флуоресцентной меткой. Благодаря этому исследователи смогли проследить, как происходит аутофагия в различных органах живого организма.
Другой частью их работы было получение трансгенных мышей, у которых ключевой для механизма аутофагии ген был удален. Мышата, которые рождались у такой мыши, быстро погибали, так как процесс аутофагии оказался очень важен при развитии в утробе и во время первого месяца жизни.
«Основная заслуга Осуми в том, что он и его сотрудники сделали очень хорошую систему мониторинга аутофагии. Они начали с дрожжей, нашли нужные гены, а потом стали искать их у млекопитающих, у которых нашли не очень близкие, но родственные гены. В результате они сделали вывод, что имеют дело с очень широко распространенным в природе механизмом», — объяснила Свирщевская.
Аутофагия и болезни
«Изучение фундаментальных механизмов аутофагии со временем может быть полезно, например, в разработке терапии старения, поскольку с возрастом степень аутофагии в соматических клетках ослабевает: они все хуже и хуже справляются с ремонтом поломок, — рассказывает руководитель лаборатории клеточных и молекулярных технологий МФТИ Елена Петерсен. — Кроме того, понимание аутофагии важно и для борьбы с раковыми клетками, которые ремонтируют свои поврежденные участки, наоборот, слишком активно и потому так хорошо выживают после самых разных агрессивных повреждающих действий. Так что, процесс аутофагии очень важно научиться регулировать».
Кроме того, есть свидетельства того, что нарушения аутофагии могут приводить к различным нейродегенеративным заболеваниям. «Прямой связи между развитием нейродегенеративных заболеваний и поломкой генов, отвечающих за механизмы аутофагии, пока не показали, но существует достаточно много научных работ, которые говорят о том, что какая-то более сложная и непрямая связь между этими процессами есть», — говорит Свирщевская.
Механизм аутофагии
Нобелевские дрожжи
Есинори Осуми изучал аутофагию на примере дрожжей, которые он использовал в качестве модельного организма для поиска генов, контролирующих клеточное самоедство. «Его открытие связано не столько с самой аутофагосомией — этот процесс был известен и раньше, сколько с методами ее анализа», — отметила Елена Свирщевская.
Аутофагия — быстрый процесс: аутофагосома живет около 10 минут, после чего сливается с лизосомой. В лаборатории Осуми идентифицировали гены, отвечающие за работу этого механизма, и выделили основной из них. Затем ученые вывели мышей, у которых белок, кодируемый этим геном, был связан с зеленой флуоресцентной меткой. Благодаря этому исследователи смогли проследить, как происходит аутофагия в различных органах живого организма.
Другой частью их работы было получение трансгенных мышей, у которых ключевой для механизма аутофагии ген был удален. Мышата, которые рождались у такой мыши, быстро погибали, так как процесс аутофагии оказался очень важен при развитии в утробе и во время первого месяца жизни.
«Основная заслуга Осуми в том, что он и его сотрудники сделали очень хорошую систему мониторинга аутофагии. Они начали с дрожжей, нашли нужные гены, а потом стали искать их у млекопитающих, у которых нашли не очень близкие, но родственные гены. В результате они сделали вывод, что имеют дело с очень широко распространенным в природе механизмом», — объяснила Свирщевская.
Аутофагия и болезни
«Изучение фундаментальных механизмов аутофагии со временем может быть полезно, например, в разработке терапии старения, поскольку с возрастом степень аутофагии в соматических клетках ослабевает: они все хуже и хуже справляются с ремонтом поломок, — рассказывает руководитель лаборатории клеточных и молекулярных технологий МФТИ Елена Петерсен. — Кроме того, понимание аутофагии важно и для борьбы с раковыми клетками, которые ремонтируют свои поврежденные участки, наоборот, слишком активно и потому так хорошо выживают после самых разных агрессивных повреждающих действий. Так что, процесс аутофагии очень важно научиться регулировать».
Кроме того, есть свидетельства того, что нарушения аутофагии могут приводить к различным нейродегенеративным заболеваниям. «Прямой связи между развитием нейродегенеративных заболеваний и поломкой генов, отвечающих за механизмы аутофагии, пока не показали, но существует достаточно много научных работ, которые говорят о том, что какая-то более сложная и непрямая связь между этими процессами есть», — говорит Свирщевская.
Екатери
Что нарушает аутофагию?
- Переедание
 - Слишком частое питание
 - Сверхпотребление белка
 - Сверхпотребление углеводов
 - Отсутствие физической нагрузки
 - Нарушение циркадных ритмов
 

Аннотация к книге "Аутофагия, или Путь к вечной жизни"
Когда-нибудь люди станут жить вечно. Возможно, это время не за горами. Потому что совсем недавно был открыт и описан механизм, приводящий организм к самоизлечению и самоомоложению, позволяющий ему освободиться от больных клеток. За его исследование японский биолог Ёсинори Осуми получил в 2016 году Нобелевскую премию. Этот заложенный от природы механизм называется аутофагия.
Из-за неправильного питания и образа жизни процесс аутофагии у современного человека отключен практически полностью. Это снижает иммунитет и срок жизни, увеличивает риск развития болезней и ускоренного старения. Однако, как показывают самые современные исследования, человек не просто может включить процесс аутофагии, он может управлять им.
Активирует аутофагию - правильно организованное одноразовое или краткосрочное голодание, для которого не нужно изнурять себя много недель.
Как запустить процесс аутофагии, как повысить сопротивляемость к болезням, как побеждать болезни, вплоть до онкологических...
Это снижает иммунитет и срок жизни, увеличивает риск развития болезней и ускоренного старения. Однако, как показывают самые современные исследования, человек не просто может включить процесс аутофагии, он может управлять им. Активирует аутофагию — правильно организованное одноразовое или краткосрочное голодание, для которого не нужно изнурять себя много недель. Как запустить процесс аутофагии, как повысить сопротивляемость к болезням, как побеждать болезни, вплоть до онкологических заболеваний, как очистить организм от шлаков и омолодить его, как сжигать жир и нормализовать свой вес, — это всё и еще многое другое вы узнаете из книги, что у вас в руках.
Из-за неправильного питания и образа жизни процесс аутофагии у современного человека отключен практически полностью. Это снижает иммунитет и срок жизни, увеличивает риск развития болезней и ускоренного старения. Однако, как показывают самые современные исследования, человек не просто может включить процесс аутофагии, он может управлять им.
Активирует аутофагию - правильно организованное одноразовое или краткосрочное голодание, для которого не нужно изнурять себя много недель.
Как запустить процесс аутофагии, как повысить сопротивляемость к болезням, как побеждать болезни, вплоть до онкологических...
Это снижает иммунитет и срок жизни, увеличивает риск развития болезней и ускоренного старения. Однако, как показывают самые современные исследования, человек не просто может включить процесс аутофагии, он может управлять им. Активирует аутофагию — правильно организованное одноразовое или краткосрочное голодание, для которого не нужно изнурять себя много недель. Как запустить процесс аутофагии, как повысить сопротивляемость к болезням, как побеждать болезни, вплоть до онкологических заболеваний, как очистить организм от шлаков и омолодить его, как сжигать жир и нормализовать свой вес, — это всё и еще многое другое вы узнаете из книги, что у вас в руках.
К читателю
Глава 1. Голодание - древняя практика очищения и
омоложения
Принципы лечебного голодания - от древности до
наших дней
Чем голодание отличается от диеты
Можно ли голодание считать панацеей?
Кацудзо Ниши о голодании
Глава 2. Принципы фаст-диеты Аутофагия,
Преимущества краткосрочного периодического
голодания
Аутофагия
Принципы периодического голодания
Фаст-диета
Дополнительные процедуры во время голодания
Глава 3. Жизнь - это движение
Голодание и физические нагрузки
Комплекс упражнений Кацудзо Ниши
Скандинавская ходьба
Гимнастика академика Амосова
Вечерняя зарядка: три несложных упражнения для
позвоночника
Глава 4. Восточные практики и голодание
Йога и краткосрочное голодание
Правильное дыхание по системе Кацудзо Ниши
Дыхательная гимнастика Цзянь фэй
Медитативные практики для очищения и
оздоровления организма
Глава 5. Здоровье - это естественно!
Здоровое питание каждый день
„ Интервального голодания я придерживалась исключительно в качестве эксперимента, но то, как мое тело и организм в целом отреагировали, было решающим, чтобы оно стало основой моего режима питания. “
Чтение онлайн не нашла... жаль...
------------------------------------------------------------------
Кетогенная диета
Кетогенная диета — это диета с высоким содержанием жиров и низким содержанием углеводов, которая также может вызывать аутофагию.
Эта диета направлена на то, чтобы вызвать кетоз, естественное метаболическое состояние, при котором кетоны используются в качестве основного источника энергии для организма.
Кетоз может помочь с потерей веса, возможно уменьшить эпилептические припадки и оказывать терапевтическое воздействие на такие состояния, как сердечные заболевания, диабет 2 типа, болезнь Альцгеймера и прыщи.
Во время диеты обычно нужно съедать от 20 до 50 граммов углеводов в день. На этой диете с чрезвычайно низким содержанием углеводов уровень инсулина снижается, а запасы жира высвобождают жирные кислоты для выработки энергии. Эти жирные кислоты окисляются в печени и превращаются в кетоны, молекулы, которые затем могут быть использованы для производства энергии.
Как кетоз вызывает аутофагию?
Кетоз требует интенсивного снижения потребления калорий, что снижает уровень инсулина и, следовательно, повышает уровень глюкагона, что приводит к увеличению аутофагии.
Физические упражнения
Одним из не диетических вариантов для индукции аутофагии является физическая нагрузка. Считается, что физические упражнения могут вызывать аутофагию в тех частях тела, которые вовлечены в процессы метаболической регуляции. В одном из исследований выяснилось, что у мышей аутофагия вызвана физическими упражнениями в таких областях, как мышцы, печень, поджелудочная железа и жировая ткань.
Исследователи пришли к выводу, что «упражнения на беговой дорожке также вызывают аутофагию в коре головного мозга взрослых мышей».
Как физические упражнения вызывают аутофагию?
Необходимы дополнительные исследования, чтобы определить точные механизмы и нейроны, которые усиливают аутофагию в ответ на физическую нагрузку. Тем не менее предыдущие исследования показывают, что физические упражнения увеличивают уровни Sirt1, что тесно связано с регуляцией инсулина, а также увеличивают активацию AMPK. AMPK является протеинкиназой, которая повышает уровень глюкагона.
Упражнения могут увеличивать уровни аутофагии, уменьшая уровни инсулина и, таким образом, увеличивая глюкагон, чтобы вызвать аутофагию, а также увеличивая активацию AMPK для непосредственного повышения уровня глюкагона.
Ученые выяснили, что бег на дальние дистанции больше стимулирует клетки к процессу самоочищения.
Аутофагия и мышечная масса
В последние годы влияние тренировок на аутофагию становится горячей темой в области науки о тренировках.
Упражнения могут ускорить метаболизм белков, глюкозы и жирных кислот, улучшить митохондриальный биогенез и способствовать ангиогенезу, а также задержать старение скелетных мышц. Эти эффекты могут быть связаны с аутофагией, вызванной тренировкой.
Функциональное состояние или уровень аутофагии является определяющим фактором для здоровья скелетных мышц. Высокий уровень аутофагии может вызвать снижение качества скелетных мышц; аналогично, слишком низкая аутофагия может привести к чрезмерной деградации скелетных мышц или миастении.
Однако чрезмерная тренировка может привести к чрезмерной аутофагии и вызвать экспрессию генов, связанных с атрофией, или чрезмерную деградацию белка, повреждение или потерю скелетных мышц.
Известный диетолог Наоми Уиттел в книге «Сияние 15» («Glow 15») предлагает 15-дневную программу, которая включает 16-часовое голодание три раза в неделю.
Диетолог советует сократить употребление белка в некоторые дни, употребление углеводов во второй половине дня и также интенсивные физические упражнения.
Данная программа была протестирована на добровольцах и имела положительные результаты. Так, за 15 дней диеты у некоторых нормализовалось артериальное давление, прибавилась мышечная масса, а некоторые похудели, сбросив до 3 кг.
Исследование Института нейробиологии, Католическиого университета Лувена (Бельгия) показало, что наиболее эффективная стратегия активации аутофагии в скелетных мышцах человека зависит от интенсивности упражнений, а не от диеты.
Как аутофагия приносит пользу людям?
На базовом уровне аутофагия является важной частью клеточной функции, в которой уничтожаются «ненужные или дисфункциональные» клеточные компоненты, такие как те, которые могли бы привести к болезни.
Некоторые исследования обнаружили, что аутофагия помогает бороться с инфекционными заболеваниями, регулировать воспаление и укреплять иммунную систему.
Аутофагия оказалась эффективной в замедлении старения и увеличении продолжительности жизни.
Ученые из немецкого Гейдельбергского университета и Института биологических исследований им. Джона Салька в США выяснили, что процесс аутофагии в клетках способен предотвратить возникновение онкологических заболеваний.
В настоящее время ведутся интенсивные исследования по разработке лекарств, которые могут быть направлены на аутофагию при различных заболеваниях.
За счет интенсивного клеточного обновления уменьшается количество факторов риска для сердечно-сосудистой системы. Аутофагия поможет нормализовать давление и, соответственно, укрепить сосуды.
Дефицит аутофагии также был связан с депрессией и шизофренией.
Чем грозит замедление аутофагии?
Если аутофагия приостановится, организм просто перестанет очищаться и обновляться.
Замедление аутофагии может привести к:
- преждевременному старению;
 
- интоксикации, или самоотравлению организма;
 
- развитию онкологических заболеваний, болезни Альцгеймера и диабета 2 типа.
 
Может ли аутофагия быть вредной?
Аутофагия описывается как «обоюдоострый меч» за его способность «усугублять или смягчать травмы».
В общем, голодание может способствовать развитию камней в желчном пузыре.
Если у вас есть какие-либо из перечисленных ниже факторов, вам не рекомендуется голодать или сидеть на кетогенной диете, так как ограниченное питание может иметь неблагоприятные последствия.
Голодание и кетозная диета противопоказаны:
- беременным или кормящим грудью;
 
- желающим забеременеть;
 
- людям с сердечными заболеваниями;
 
- диабетикам;
 
- людям с пищевым расстройством.
 
Кроме того, увеличение упражнений может быть проблемой для вышеперечисленного. Каждому, кто хочет вызвать аутофагию через периодическое голодание, кетоз или физические упражнения, рекомендуется проконсультироваться с врачом, если у них есть какие-либо проблемы.
***
Отметим, что аутофагия – это не лекарство и не спасение от всех бед. Вы должны знать о ней и использовать ее, чтобы «обновить» свой организм и продлить себе жизнь. Длительное или частое голодание может нанести вред здоровью, и если вы собрались изменить свою диету или образ жизни, вам необходимо посоветоваться с врачом.
-----------------------------------------------------------------------


При острой нехватке питательных веществ утилизация не слишком нужных структур, например, хвоста — приемлемая альтернатива! На самом деле Уроборос — более глубокий символ: змей, пожирающий собственный хвост, означает обновление и вечность
В 2016 году Нобелевскую премию по физиологии или медицине присудили профессору Токийского технологического института Ёсинори Осуми за фундаментальные исследования аутофагии — ключевого процесса переработки и реутилизации клеточных компонентов.
ДИАБЕТ: Последующий анализ диаметра мелких артерий подтвердил, что АУТОФАГИЯ действительно улучшает здоровье сосудов.
ДИАБЕТ: Последующий анализ диаметра мелких артерий подтвердил, что АУТОФАГИЯ действительно улучшает здоровье сосудов.
Целительное самопоедание
Слово «аутофагия» до этой премии слышали немногие, но «программируемая клеточная смерть» — не теряющий популярности хит. Цитируя профессора Б. Д. Животовского: «По моим подсчетам, каждые 24 минуты появляется новая публикация, включающая термины „апоптоз“, „некроз“, „аутофагия“ или „программируемая гибель клеток“» (см. «Химию и жизнь» № 5, 2014). Сейчас трудно вообразить, что еще полвека назад изучение программ, запускающих гибель ненужных или злокачественных клеток, кому-то казалось малоинтересным и что статью, в которой впервые был предложен термин «апоптоз», с трудом приняли к публикации.
Однако апоптоз — лишь один из видов программируемой клеточной смерти. Есть еще программируемая форма некроза (некроптоз) — она играет важную роль в развитии многих серьезных заболеваний, в том числе инфаркта и инсульта. 
Ороговение, или корнификация, верхнего слоя кожи — оказывается, тоже особый путь клеточной гибели со своей специальной программой. (И в самом деле: почему упомянутый процесс протекает лишь на некоторых участках нашего тела, а на других отмершие клетки незаметно слущиваются?) 
А четвертый — как раз аутофагия. Хотя это путь не столько смерти, сколько возрождения.
Когда спорят о том, обязательно ли все живое должно стареть и умирать, часто говорят: а вот клетка потенциально бессмертна, амеба или инфузория в благоприятных условиях не стареет и не умирает, а делится, и это происходит бесконечно, на протяжении сотен веков, значит... Не будем разбирать, что это значит для нас, многоклеточных, и чем отличается наше положение от положения амебы, а зададимся вопросом: почему амеба не стареет? Или для нее не писан второй закон термодинамики? Цепочки должны рваться, активные формы кислорода — окислять биомолекулы, и что делать, чтобы система не пришла в негодность?
Хрестоматийный ответ: живые объекты противостоят энтропии, получая энергию извне и употребляя ее для роста и развития, а также для замены и ремонта поврежденных структур. 
Один из механизмов клеточного ремонта исследовал нобелевский лауреат 2016 года.
В середине ХХ века электронная микроскопия позволила ученым узнать много нового об устройстве клетки и ее повседневной жизни. Результаты, полученные в то время, имели огромное значение, им воздается должное до сих пор. Всего три года назад, в 2013-м, Нобелевскую премию по физиологии и медицине присудили за открытие везикулярного транспорта — точно срежиссированных «перевозок» различных веществ в мембранных пузырьках, как по маршрутам внутри клетки, так и за ее пределы (см. «Химию и жизнь» № 11, 2013).
 А вот бельгийский ученый Кристиан Де Дюв получил свою Нобелевскую премию сравнительно рано, в 1974 году, вместе с Джорджем Паладе и Альбером Клодом «за открытия важнейших клеточных структур». Сам Де Дюв открыл лизосому — клеточный утилизатор, мембранный пузырек с ферментами, расщепляющими биомолекулы. И уже в 50–60-е годы были пойманы интересные микроскопические кадры: лизосомы, внутри которых находятся цитоплазма, фрагменты клеточных структур, а иногда целые органеллы, например митохондрии. Был описан также своеобразный механизм доставки этих фрагментов к месту демонтажа: их затягивает в двухслойный мембранный пузырек — аутофагосому, который затем сливается с лизосомой. Название «аутофагия» — буквально «самопоедание» — предложил для этого механизма Кристиан Де Дюв. Иногда аутофагию наблюдали в тканях больных или отравленных токсическими агентами животных, но иногда и в норме — например, во время эмбрионального развития. Она обнаружилась у самых разных животных, от амебы и эвглены до позвоночных. Это означало, что механизм древний и, вероятно, очень важный.
К слову, в 70–80-е годы был исследован другой механизм демонтажа ненужных структур — специфическая деградация белков, к которым прикреплен маленький белок убиквитин, точнее, полимер из нескольких убиквитинов. Белки с убиквитиновой меткой направляются в протеасому (крупный, мультисубъединичный белковый комплекс), где расщепляются на аминокислоты. За это открытие Аарон Цихановер, Авраам Хершко и Ирвин Роуз получили Нобелевскую премию по химии 2004 года.
Но протеасомная система утилизирует отдельные молекулы, аутофагия же — утилизация целых белковых комплексов и органелл. 
Как управляется этот потенциально опасный для клетки процесс? 
Что запускает образование аутофагосомы? 
Насколько важна аутофагия для нас и других существ, могут ли ее нарушения быть причиной болезней и если да, то каких? 
От первых наблюдений аутофагии до первых ответов на эти вопросы прошло несколько десятилетий. Вероятно, иначе и быть не могло: для этого необходимы были эффективные методы исследования генома.
Переполнение мусорного бака
Ёсинори Осуми родился в 1945 году в городе Фукуока. Отец его был профессором инженерных дисциплин в университете Кюсю, но Осуми-младший больше интересовался естественными науками, чем техникой. Он поступил в Токийский университет, чтобы стать химиком, однако вскоре понял, что эта наука не так уж сильно его привлекает — в ней, как ему казалось, мало новизны. «Но, думаю, мне повезло, — говорил он в интервью Journal of Cell Biology 2012 года, — потому что начало 60-х было золотым веком молекулярной биологии. Я решил, что хочу заниматься ей».

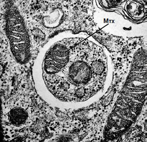
Аутофагия в фибробластах мыши, выращенных на бедной питательными веществами среде. Хорошо видна митохондрия (Мтх) внутри аутофагосомы. Изображение: Nature Cell Biology, 2010, 12, 823–830
Во время диплома Осуми изучал синтез белков у кишечной палочки, но выдающихся результатов не получил. Молекулярно-биологических лабораторий в Японии того времени было не так много, найти работу казалось сложно. Получив степень в 1974 году, Осуми отправился в США — в Рокфеллеровский университет, где стал постдоком у нобелевского лауреата Джеральда Эдельмана. Там ему пришлось переключиться на биологию развития млекопитающих, и он вспоминает об этом периоде без восторга. Но именно в лаборатории Эдельмана он приобрел опыт работы с дрожжами Saccharomyces cerevisiae, который пригодился ему впоследствии.
Вернувшись в альма-матер, доктор Осуми выбрал темой исследований вакуоли дрожжей. «В то время многие изучали транспорт ионов и небольших молекул через плазматическую мембрану, но мало кто брался изучать транспорт через мембраны органелл. А вакуоль (функциональный аналог лизосомы многоклеточных. — Прим. ред.) считали просто мусорным баком клетки, не очень-то много людей интересовались ее физиологией, и я подумал, что было бы неплохо исследовать транспорт в вакуоли, поскольку у меня будет мало конкурентов». Действительно, в этой области ему сопутствовала удача. В 1988 году 43-летний Осуми стал руководителем группы — не сказать чтобы звездная карьера. И он решил исследовать литическую функцию вакуоли, ее способность переваривать биомолекулы.
Дрожжи — один из самых популярных экспериментальных объектов. С одной стороны, они эукариоты, имеют ядро и прочие органеллы, то есть гораздо больше похожи на нас, чем, например, бактерии. С другой стороны — они сравнительно просто устроены и быстро размножаются, их несложно культивировать, что подтверждает многовековой опыт человечества по приготовлению спиртных напитков.
Неудобны дрожжи тем, что их клетки довольно малы: их типичный размер исчисляется микрометрами, крупнее кишечной палочки, но меньше большинства эукариотических клеток. Было даже не очень понятно, есть ли у них аутофагия. Осуми исходил из предположения, что есть и должна усилиться у голодающих клеток (они будут демонтировать наименее нужное, чтобы получить энергию для выживания). А если у этих клеток ферменты, отвечающие за деградацию молекул, будут повреждены мутацией, то процесс переваривания застопорится и клеточное несварение должно стать заметным.

Дрожжевые клетки с дефектными ферментами, выращенные на голодной диете: в вакуолях (В) накапливаются пузырьки аутофагосом (АФ). Изображение: Journal of Cell Biology, 1992, 119, 2, 301–311
Итак, штаммы дрожжей, не имеющие протеиназы А, протеиназы В и карбоксипептидазы, стали выращивать на среде, бедной питательными веществами. Рассматривать клетки под микроскопом Осуми нравилось, наблюдения он вел сам. «Через 30 минут голодания появилось множество пузырьков и они начали накапливаться в вакуоли. У меня был хороший знакомый — специалист по электронной микроскопии, и мне посчастливилось наблюдать образование аутофагосом и их слияние с вакуолью. Это стало отправной точкой моей работы...» Действительно, на фото хорошо видны мелкие пузырьки в вакуолях, которые не деградируют (Journal of Cell Biology, 1992, 119, 301–311). Таким образом, стало ясно, во-первых, что аутофагия у дрожжей имеет место, а во-вторых — как выглядит клетка, у которой аутофагия затормозилась на последнем этапе.
От микроскопии к генетике
Почему важно это «во-вторых» — замечательно объяснил Юрий Лазебник в эссе 2002 года «Может ли биолог починить радио?». (Кстати, и он в свое время исследовал апоптоз в знаменитой лаборатории Колд-Спринг-Харбор.) Он предлагает читателям вообразить биологов, изучающих транзисторный радиоприемник теми же методами, которыми они изучают гены и белки живой клетки, причем допускает правдоподобное предположение, что физике и радиотехнике биологи не обучены. Для начала надо раздобыть денег и купить много одинаковых радиоприемников, научиться их вскрывать, затем описать и классифицировать найденные внутри компоненты — по форме, цвету, размеру и количеству ножек.
«Более эффективным окажется подход, согласно которому компоненты поочередно удаляют, или вариант, когда в радио стреляют с близкого расстояния металлическими частицами. В последнем случае те приемники, которые сломаются (произведут „фенотип“), будут отобраны, чтобы понять, поломка какой детали привела к такому фенотипу. Хотя удаление большинства компонентов будет давать лишь незначительный эффект, какой-нибудь везучий постдок случайно найдет проводок, отсутствие которого полностью прекратит музыку. Ликующий ученый назовет проводок Удачно Расшифрованным Компонентом (УРК), после чего узнает, что УРК является единственным связующим звеном между длинным выдвигающимся объектом и остальными частями приемника...»
История борьбы биологов с радиоприемником длинна и забавна, а мораль ее в том, что биологам стоило бы позаимствовать кое-какие подходы и методы описания сложных систем у инженеров. Но пока биосистемы не стали для нас такими же ясными, как схемы электроприборов, остается полезным умение ломать радиоприемники. В особенности так, чтобы удавалось связать поломку (отошел контакт) с нарушением конкретной функции (искажаются высокие звуки).
Вот почему дрожжевые клетки с вакуолями, набитыми пузырьками, были настоящим сокровищем. Дальше исследователи рассуждали так: если у штамма с дефектом переваривания аутофагосом появится еще одна мутация и при этом в условиях голодания прекратится появление вакуолей с пузырьками, значит, продукт мутантного гена задействован в аутофагии. (Мы видим, что будущий нобелевский лауреат использовал немного более хитрый способ, чем традиционный: нашел поломку, которая делала более заметными другие поломки.)
Поиском этих генов и занялась в 90-е годы группа Осуми, на тот момент состоявшая из трех человек — самого доктора и двух студентов. Дрожжевые штаммы подвергали химическому мутагенезу, чтобы получить случайные мутации, а затем индуцировали в них аутофагию и смотрели, как изменится фенотип. Студентке Осуми Мики Цукада удалось обнаружить первый ген аутофагии, который, естественно, назвали APG1 (autophagy gene; в настоящее время этим генам присвоена аббревиатура ATG). У дрожжей — носителей мутации не начиналась аутофагия во время голода, и они быстро теряли жизнеспособность, поскольку у них был перекрыт резервный источник энергии и строительного материала.
Очень скоро Осуми с коллегами обнаружили у дрожжей целых 15 генов аутофагии (FEBS Letters, 1993, 333, 169–174), а также охарактеризовали их белки. Примерно в то же время был опубликован геном дрожжей, что сильно упростило работу.
Прояснилось и с регуляцией. Так, белок Atg1 принадлежит к семейству киназ, то есть фосфорилирует белки (регуляция с помощью фосфатной метки широко распространена в природе). Он взаимодействует с продуктом ATG13, и это взаимодействие регулируется знаменитой киназой — мишенью рапамицина (TOR), которая участвует в контроле роста, старения и ответа на стрессы. Она активна в клетках, когда те хорошо питаются, и фосфорилирует Atg13, чем предотвращает его взаимодействие с Atg1. Голодание же инактивирует TOR, нефосфорилированный Atg13 связывается с Atg1, и запускается аутофагия. А потом выяснилось, что при этом образуется пентамерный комплекс, из пяти белков — Atg13, Atg1, Atg17, Atg29, Atg31... Все, о чем мы только что рассказали, — лишь первый шаг в каскаде событий, необходимых для формирования аутофагосомы, которая в итоге заключит в себя фрагмент клеточной структуры, назначенный к уничтожению.
Конечно, всех интересовало, существуют ли аналогичные механизмы у других живых существ. Осуми с коллегами первыми нашли такие гены у млекопитающих (например, мыши, дефектные по ATG5, нормальны при рождении, но умирают в первый же день жизни, неспособные перетерпеть перерывы между кормлениями). Есть они и у человека, причем механизм очень похож на тот, что был открыт у дрожжей.
Истребление всего ненужного
Сегодня мы знаем об аутофагии сравнительно много. Деградацию крупных порций цитоплазмы и клеточных органелл, то, что, собственно, наблюдал Осуми, называют макроаутофагией. Неселективная аутофагия в клетке происходит постоянно, обеспечивая обновление структур, и усиливается в ответ на стресс. Но бывает аутофагия и селективной — когда белковые агрегаты, органеллы, вирусы или бактерии, которых надо уничтожить, несут специфическую метку. Уничтожение проникших в клетку бактерий и вирусов имеет отдельное название — ксенофагия, исследование этого процесса и того, как некоторые возбудители заболеваний научились с ним бороться, — особая тема. Есть также микроаутофагия (лизосома «заглатывает» маленькие порции цитоплазмы) и шаперон-опосредованная аутофагия отдельных белков — в отличие от убиквитиновой системы, которая утилизирует главным образом короткоживущие белки, более не нужные, аутофагия удаляет долгоживущие.
Аутофагия участвует также в эмбриональном развитии и дифференциации клеток. Ее дефекты наблюдаются при болезни Паркинсона, различных нарушениях развития мозга, эпилепсии, диабете второго типа, некоторых видах рака (рак груди и яичников часто может быть связан с мутацией в гене BECN1, гомологе дрожжевого ATG6). Интересно, что среди противораковых препаратов есть как стимуляторы аутофагии, так и ее блокировщики. Первые предотвращают развитие опухоли, вторые применяются, если рак уже прогрессирует, чтобы раковые клетки не использовали аутофагию как механизм устойчивости к химиотерапии. С нарушениями в генах аутофагии связаны некоторые наследственные заболевания, например синдром Вици.
Вместо заключения приведем рекомендацию Ёсинори Осуми для ученых, карьера которых складывается не слишком благоприятно, как у него самого поначалу (из того же интервью 2012 года, когда он еще не знал, что станет нобелевским лауреатом, но уже достиг значительных успехов): 
«К сожалению, сегодня, по крайней мере в Японии, молодые ученые хотят получить стабильную работу, поэтому боятся рисковать. Большинство предпочитает работать в самых популярных областях, думая, что это простейший способ опубликоваться. Но я сделал наоборот. Я не очень люблю конкурентную борьбу, поэтому всегда искал новые предметы для изучения, пусть даже не слишком популярные. Если вы начнете с базовых, новых наблюдений такого рода, у вас будет уйма работы».
„ Аутофагия - это очень простой и надежный способ избавляться от всего этого метаболического хлама. Бесплатный и относительно безопасный. “
Подробнее: https://www.labirint.ru/books/699433/
АУТОФАГИЯ ПРЕДОТВРАЩАЕТ РАЗВИТИЯ БОЛЕЗНИ АЛЬЦГЕЙМЕРА
Ученые выяснили: те, кто выбирает плотный завтрак и менее плотный обед, теряют вес быстрее, чем те, кто завтракает мало и обедает много.
Аутофагия (дословно «самопоедание») – процесс, происходящий в клетках.
Белки, которые «неправильно» свернулись, старые органеллы, вирусы и бактерии, которые могли поглотить клетки иммунной системы, попадают в лизосомы и подвергаются уничтожению
Лизосома напоминает пузырек внутри клетки с ферментами, которые уничтожают ненужное. Таким образом наши клетки «делают уборку».
Этот процесс происходит в теле постоянно, но слабо.
Активирует аутофагию ряд факторов, среди которых – ВОЗДЕРЖАНИЕ ОТ ЕДЫ, ограничение калорий и физические нагрузки.
КАК ВКЛЮЧАЕТСЯ АУТОФАГИЯ ВО ВРЕМЯ ИНТЕРВАЛЬНой пищевой паузы
Объясню вам процесс очень просто, без сложных терминов и медицинских диаграмм. Как я уже говорила, минут через 20 после начала еды уровень инсулина в нашем организме самый высокий. И держится этот уровень примерно 3 часа. Постепенно, перерабатывая еду в энергию (или в жир), этот уровень снижается. 
Самого низкого уровня инсулин достигает через 12 часов после последнего приема пищи и только после этого включается аутофагия.
Аутофагия начинает работать при низком инсулине, а низким он бывает только через 12 часов после еды.
Аутофагия начинает работать при низком инсулине, а низким он бывает только через 12 часов после еды.
Давайте подсчитаем. 
Мы покушали в 18.00. 
В 18.20 – самый высокий уровень инсулина в нашем организме. 
Через 12 часов – в 6 утра запускается процесс лечебного очищения организма аутофагией. И с 6 до 12 аутофагия работает над переработкой мусора и очищением организма. 
Чем меньше время голодания – тем меньше времени вы оставляете на работу аутофагии после снижения инсулина.

https://ostrovrusa.ru/dieta-voina-chast-1читать
20/4
Книга «Диета воина» Ори Хофмеклера впервые вышла в 2002 году и сразу же стала бестселлером. С тех пор она несколько раз переиздавалась, получила массу положительных отзывов, а также неоднократно становилась предметом дискуссий диетологов всего мира.
----------------------------------------------------
https://ostrovrusa.ru/dieta-voina-chast-1читать
20/4
Книга «Диета воина» Ори Хофмеклера впервые вышла в 2002 году и сразу же стала бестселлером. С тех пор она несколько раз переиздавалась, получила массу положительных отзывов, а также неоднократно становилась предметом дискуссий диетологов всего мира.
Японский ученый Ёсинори Осуми открыл принцип питания, который помогает сохранить молодость и здоровье, и получил за это Нобелевскую премию по медицине.
Суть его работы проста: когда мы голодаем какое-то время, клетки перерабатывают все старое и ненужное и омолаживаются. Этот процесс называется аутофагия. Вот система, которая поможет использовать достижение ученого для себя, изменив всего одну пищевую привычку.
AdMe.ru изучил типы интервального голодания и выбрал самую простую и безопасную схему питания, которая поможет запустить аутофагию, сохранить молодость и привести в порядок вес.
Что такое окно питания
Время, в течение которого мы едим, называется окном питания. Тот, кто встает в 7:00 и завтракает через час, открывает «окно» в 8:00 утра. Если ужин попадает на 20:00–22:00, «окно» растягивается до 12–14 часов каждый день.
Раньше считалось, что нужно есть часто и по чуть-чуть, иначе организм начнет запасать жир.
Как показали исследования 2017 года, те, кто ест с 8:00 до 20:00, менее здоровы, чем те, кто ест с 8:00 до 14:00, — когда окно питания занимает 6–8 часов, меньше риск заболеть диабетом, анемией или ожирением.
Сужение окна питания помогает похудеть: организм сжигает больше жира ночью, уменьшается чувство голода и количество потребляемой энергии, повышается метаболическая гибкость.
Маленькое окно питания полезно и для здоровья в целом:
- увеличивается защита от ультрафиолета, рака кожи и старения;
 - снижается риск рака груди;
 - снижается кровяное давление;
 - снижается риск болезней сердца;
 - улучшается качество сна.
 - Важно не только сузить окно питания, но и выбрать правильное время. У каждого организма есть циркадные ритмы: колебания внутренних часов, привязанные к смене дня и ночи.Утром выбрасывается гормон кортизол, у нас есть энергия и аппетит. Вечером вырабатывается мелатонин: тело готовится ко сну, замедляя внутренние процессы, в том числе пищеварение.Если есть вечером, сбиваются внутренние часы:
 
Возникает возмущение: 
но как я буду бороться с чувством голода весь вечер? 
Этот феномен ученые тоже изучили. Оказалось, что гормон голода привязан к циркадным ритмам. Пиковые моменты выброса гормона голода — 8:00, 13:00 и 19:00.
После каждого пика, вне зависимости от того, ел человек или просто выпил чай, через 2 часа волна спадает. Это значит, что не стоит доверять чувству голода, который зовет к холодильнику каждые 3 часа. Ученые утверждают, что со временем организм привыкнет к большому перерыву в еде и чувство голода станет слабее. Если же есть часто, чувство голода, наоборот, станет сильнее.
Первое время может быть тяжело сузить окно питания: несколько дней будет непреодолимое желание съесть слона после 19:00. Это время можно пережить, перекусывая овощами или фруктами. 
Через неделю тело привыкнет, аппетит станет меньше, сон крепче, а настроение по утрам бодрее.
Как видим, в такой схеме питания нет ничего сложного. Что нужно сделать:
- посчитать, сколько часов занимает окно питания (если завтрак в 8:00, а ужин в 20:00, наше окно — 12 часов в день);
 - сузить окно до 6–8 часов, перенести его на утренние и дневные часы (например, с 8:00 до 14:00–16:00);
 - не считать калории: через 1–2 недели тело привыкнет, аппетит станет меньше, утром появятся легкость и энергия.
 
Почему это важно
Аутофагия и воздержание от еды, который ее запускает, оказались эффективными в облегчении болезней, связанных с 
воспалением, 
сердечно-сосудистых, 
нейродегенеративных и метаболических, 
ожирения и 
рака, 
замедлении процессов старения и 
увеличении продолжительности жизни. 
Аутофагия помогает уничтожать миелоидные бляшки в нейронах при болезни Альцгеймера. 
Периоды воздержания от еды помогают нормализовать вес и баланс холестерина.
Нарушение механизмов аутофагии наблюдается при нейродегенеративных заболеваниях. С возрастом и при регулярно высоких уровнях инсулина (то есть, когда мы часто едим сладкое) аутофагии замедляется. И наоборот – когда мы голодны, когда нет инсулина, а вместо него есть гормон глюкагон, аутофагия запускается.
Ограничение калорий тем или иным способом – это модная и научно обоснованная диета. 
Для лучшего запуска аутофагии воздержание от еды должно продолжаться в течение 18–24 часов. То есть, следует делать разгрузочный день или пропускать ужин и завтрак. Можно есть только в определенный период дня, например, с 11 по 18, – но не постоянно! Другим путем ограничения калорий является подход, когда мы питаемся, как обычно, но устраиваем дни очень ограниченного потребления пищи. 
Популярен вариант 5х2, когда мы пять дней едим, как всегда, и два дня потребляем не более 500–600 ккал в сутки. Вы можете выбрать приемлемый для себя способ ограничения калорий.
Противопоказания к интервальному голоданию:
- Люди, привыкшие «заедать стресс», могут после дня аутофагии съесть гораздо больше, чем нужно.
 - Голодать и тренироваться не стоит. Возможны головокружение и очень низкая эффективность тренировок. Особенно это касается бега или плавания.
 - Диабет 1 и 2 типа и голодание несовместимы. Введение инсулина на фоне голода может критически снизить уровень сахара в крови.
 - Беременным женщинам также не стоит голодать, а придерживаться полноценного, хоть и не чрезмерного, питания.
 
На что обратить внимание:
- Периоды воздержаия от еды полезны для здоровья, и стоит приучить себя регулярно "поститься", если у вас нет противопоказаний.
 - Вы можете помочь организму с аутофагией, если будете соблюдать режим питания и откажетесь от перекусов и сладостей.
 - Если вы не можете воздерживаться от еды, непременно занимайтесь интенсивными физическими нагрузками.
 - Проконсультируйтесь со своим семейным врачом, если планируете начать такую практику.
 
Опыты Ёсинори Осуми
Говоря словами науки, аутофагия – это процесс переработки клеткой собственных составляющих. Впервые описал бельгийский биохимик Кристиан Де Дюв в 1963 году. Но тогда учёный не знал, является ли эта способность клеток врожденной, какие гены за это отвечают и как запустить процесс. Лишь недавно, в 2016 году японский учёный Ёсинори Осуми смог экспериментально доказать этот процесс, за что и был награждён Нобелевской премией по медицине. Работая с клетками дрожжей, учёный содержал их без дополнительной подпитки – в среде с низким уровнем глюкозы.
Наблюдая за клетками в световой микроскоп, он обнаружил, что при низкокалорийном питании цитоплазма клеток начинает активизироваться, в ней возникает большое количество пузырьков. Как оказалось, при недостатке пищи клетка начинает сама себя переваривать. При этом сначала клетка «съедает» старые и поврежденные структуры – скопления окисленных белков, дефектные митохондрии. В результате клетка обновляется и омолаживается. Однако Осуми также доказал, что, если голодание долго не прекращается, аутофагия может уничтожить клетку.
Самая популярная и доступная схема интервального голодания – 16/8, которая подразумевает 16 часов голодания и 8 для приёма пищи. Например, человек может есть в промежутке между 10 и 18 часами дня, в остальное время пить воду или травяной чай.
Исследователь из Университета Южной Калифорнии Вальтер Лонго много лет занимается изучением голодания. Учёный доказал, что прерывистое голодание способствует 
-улучшению когнитивных функций, 
-повышает чувствительность тканей к инсулину, 
-снижает артериальное давление и 
частоту сердечных сокращений, 
-задерживает появление опухолей, -предотвращает воспалительные заболевания, 
-способствует регенерации клеток крови, -стимулирует иммунную систему. 
Опыты на мышах подтвердили, что прерывистое голодание является -профилактикой сахарного диабета, а также -опухолевых, 
-сердечно-сосудистых и 
-нейродегенеративных заболеваний.
Питание с 12-часовыми и более перерывами также запускает процессы аутофагии. При этом режиме питания уменьшается жировая масса тела, но не теряется мышечная, снижается уровень холестерина и глюкозы в крови. 
По мнению учёных, есть ряд биологически активных веществ, которые способствуют аутофагии:
- Спермидин (грибы, сыр, грейпфрут)
 - Кукурбитацин I (горькие огурцы)
 - Физалин А (физалис)
 - Диосцин (соя)
 - Ресвератрол (красный виноград)
 - Куркумин (приправа карри)
 - Катехин, эпикатехин (зеленый чай, какао)
 - 20(S)-протопаноксатриол, магнофлорин (корень женьшеня)
 - Гамма-токотриенол (бурый рис)
 - Витамин B3 (белое мясо, хлеб, овес, бобовые, ячмень, шампиньоны, арахис, грецкий орех)
 - Витамин Д (рыба, кисломолочные продукты)
 
Факторы, подавляющие синтез новых белков и активизирующие процессы аутофагии (ремонт старых структур) — стимуляторы омоложения организма:
- Воздержание от еды раз в неделю в течение 24-36 часов (употреблять только воду, кофе и чай без сахара и без молока). Когда организм не получает извне новые строительные материалы (БЦА аминокислоты, метионин), то он старается получить это путём переваривания внутриклеточного мусора и синтеза из него нужных для жизни жиров, белков и углеводов. А переваривание старых клеточных структур (аутофагия) — это правильное очищение организма.
 - Приём некоторых лекарственных средств. Например: рапамицин, метформин. Метформин угнетает активность киназы TOR, стимулируя процессы аутофагии.
 - Употребление в пищу раз в две недели на протяжении 2-3 дней только сырых овощей и воды. В сырых овощах крайне мало БЦА аминокислот, метионина и быстрых углеводов. Организм во время такого питания не дополучает всех необходимых строительных материалов для роста и начинает получать это путём переваривания внутриклеточного мусора и синтеза из него нужных для жизни жиров, белков и углеводов. Вот почему переваривание старых клеточных структур (аутофагия) — это правильное очищение организма.
 
В 2016 году Нобелевскую премию по медицине получил Осуми Йошинори за открытие и описание молекулярных и физиологических механизмов автофагии.
Что же такое аутофагия? 
Аутофагия (от др.-греч. ауто – «сам», фагос – «есть») – самоедство. По сути, это механизм избавления от всех, выполнивших свою роль, старых клеточных компонентов (органеллы, белки и клеточные мембраны), когда клетке уже недостаточно энергии, чтобы их поддерживать. Это регулируемый упорядоченный процесс, направленный на разложение и переработку клеточных компонентов.
Существует похожий на аутофагию и лучше изученный процесс апоптоза – процесс запрограммированной клеточной смерти. Клетки запрограммированы на смерть после определённого числа циклов деления. Хотя это и звучит мрачно, но необходимо понять, что этот процесс важен для поддержания хорошего здоровья организма в целом.
Предположим, что вы владеете машиной. Вы любите вашу машину. У вас с ней связано много воспоминаний. Вам нравится ездить на ней. Но после нескольких лет использования она уже выглядит немного побито. А ещё через несколько лет вид её уже совсем неважный. Поддержка машины обходится вам в тысячи долларов в год. Она всё время ломается. Стоит ли продолжать держать у себя этот кусок хлама? Конечно нет! Вы избавляетесь от неё и покупаете себе новенький автомобиль.
То же самое происходит и в нашем организме. Клетки становятся старыми и бесполезными. И лучше бы им быть запрограммированными на смерть, когда их полезная жизнь подошла к концу. Это звучит очень жестоко, но это жизнь. Это процесс апоптоза, при котором клетки заранее обречены на гибель по прошествии заданного времени. Это похоже на лизинг автомобиля – после определённого времени вы избавляетесь от него, работает он или сломался. Затем вы покупаете новый автомобиль и вам не надо беспокоиться, что он сломается в трудную минуту.
Аутофагия – замена старых клеточных компонентов
Такой же процесс происходит и на субклеточном уровне. Вам нет необходимости менять всю машину. Иногда вам надо просто заменить аккумулятор – выбросить старый и поставить новый. То же происходит и внутри клетки. Вместо уничтожения целой клетки (апоптоз), вам всего лишь необходимо заменить некоторые клеточные компоненты. Это и есть процесс аутофагии, в котором старые субклеточные органеллы разрушаются и создаются новые органеллы на замену старым. Старые клеточные мембраны, органеллы и продукты обмена удаляются из клетки, попадая в лизосому, которая содержит ферменты для расщепления белков.
Аутофагия была впервые описана в 1962 году, когда исследователи впервые отметили увеличение количества лизосом (органелл, разлагающих старые субклеточные компоненты) в печени крысы после введения глюкагона – гормона поджелудочной железы. Лауреат Нобелевской премии Кристан де Дюв придумал слово «аутофагия». На повреждённые субклеточные компоненты и неиспользуемые белки ставится маркер «уничтожить», и они направляются в лизосомы, завершающие их работу.
Одним из ключевых регуляторов аутофагии является протеинкиназа, называемая «мишень рапамицина у млекопитающих» (mTOR). Когда mTOR активируется, она подавляет аутофагию, а когда mTOR подавляется, то она способствует аутофагии.
Что активирует аутофагию?
Ограничение питательных веществ является ключевым при активации аутофагии. 
Гормон глюкагон противоположен инсулину.
Как в детской игре «день наоборот».
Если уровень инсулина повышается, то уровень глюкагона падает.
Если инсулин падает, глюкагон растёт.
Гормон глюкагон противоположен инсулину.
Как в детской игре «день наоборот».
Если уровень инсулина повышается, то уровень глюкагона падает.
Если инсулин падает, глюкагон растёт.
Когда мы едим, инсулин повышается и глюкагон падает. 
Когда мы воздерживаемся от еды , инсулин падает, а глюкагон растёт. 
Этот рост уровня глюкагона стимулирует процесс аутофагии. ПИЩЕВАЯ ПАУЗА, при которой повышается глюкагон, является, на самом деле, лучшим стимулятором аутофагии.
Это, по сути, тип клеточной уборки: организм идентифицирует старые и нестандартные клеточные компоненты и маркирует их для дальнейшего уничтожения. Накопление в клетках этих старых клеточных компонентов может быть причиной многих эффектов старения.
ПОСТОЯННЫЙ ЖОР - ПРИЧИНА НАКОПЛЕНИЙ СТАРЫХ КЛЕТОЧНЫХ КОМПОНЕНТОВ
ВОЗДЕРЖАНИЕ ОТ ЕДЫ полезно не только с точки зрения стимуляции аутофагии. Стимулируя аутофагию, мы очищаем клетки от старых белков и продуктов обмена. 
С другой стороны, ПИЩЕВОЕ ВОЗДЕРЖАНИЕ приводит к выработке гормона роста, указывающего нашему организму, чтобы тот начал производить новые клеточные компоненты. Таким образом мы полностью обновляем наше тело.
С другой стороны, ПИЩЕВОЕ ВОЗДЕРЖАНИЕ приводит к выработке гормона роста, указывающего нашему организму, чтобы тот начал производить новые клеточные компоненты. Таким образом мы полностью обновляем наше тело.
Перед тем, как поставить новые вещи, вам необходимо избавиться от старых. Представим себе ремонт кухни: если у вас там ещё с 70-х висят облезлые грязно-салатовые шкафы, то их придётся выкинуть, прежде чем вешать новые. Таким образом, процесс разрушения (удаления) является таким же важным, как и процесс созидания. Было бы ужасным повесить новые полки на старые. 
ПИЩЕВОЕ ВОЗДЕРЖАНИЕ может обратить процесс старения путём избавления от старых клеточных компонентов и замены их новыми.
Высокорегулируемый процесс
Аутофагия является высокорегулируемым процессом. Выйдя из-под контроля, аутофагия может нанести вред, так что должна чётко управляться. Полное истощение запаса аминокислот в клетках млекопитающих является мощным сигналом для аутофагии, хотя роль индивидуальных аминокислот варьируется. Уровни аминокислот в плазме, однако, почти постоянны. Предполагается, что сигналы от аминокислот и факторов роста, а также сигналы от инсулина, сходятся с сигнальным путем mTOR, иногда называемым главным регулятором сигнализации питательных веществ.
Итак, при аутофагии старые клеточные компоненты расщепляются на аминокислоты (строительные блоки для белков). 
Что же случается дальше с этими аминокислотами? На ранних стадиях ПИЩЕВОЙ ПАУЗЫ уровни аминокислот начинают повышаться. Считается, что эти аминокислоты, полученные при аутофагии, направляются в печень для глюконеогенеза. Эти аминокислоты могут быть также расщеплены на глюкозу в процессе цикла трикарбоновых кислот. И, наконец, эти аминокислоты могут стать частью новых белков.
Что же случается дальше с этими аминокислотами? На ранних стадиях ПИЩЕВОЙ ПАУЗЫ уровни аминокислот начинают повышаться. Считается, что эти аминокислоты, полученные при аутофагии, направляются в печень для глюконеогенеза. Эти аминокислоты могут быть также расщеплены на глюкозу в процессе цикла трикарбоновых кислот. И, наконец, эти аминокислоты могут стать частью новых белков.
Последствия накопления старых «мусорных» белков внутри клетки прослеживается в двух главных состояниях – болезни Альцгеймера и раке.
При болезни Альцгеймера происходит накопление аномальных белков – бета-амилоидов или тау-белков, разрушающих клетки мозга и приводящих к слабоумию. Разумно предположить, что процесс, подобный аутофагии, способной очищать клетки от старых белков, может предотвратить развитие болезни Альцгеймера.
При болезни Альцгеймера происходит накопление аномальных белков – бета-амилоидов или тау-белков, разрушающих клетки мозга и приводящих к слабоумию. Разумно предположить, что процесс, подобный аутофагии, способной очищать клетки от старых белков, может предотвратить развитие болезни Альцгеймера.
АУТОФАГИЯ ПРЕДОТВРАЩАЕТ РАЗВИТИЯ БОЛЕЗНИ АЛЬЦГЕЙМЕРА
Что же «отключает» процесс аутофагии? Питание. Глюкоза, инсулин (или пониженный глюкагон) и старые белки могут в совокупности «отключить» этот процесс самоочищения клетки. И много их для этого не потребуется. Даже небольшие количества аминокислоты (лейцин) могут остановить аутофагию. 
Таким образом, 
процесс аутофагии является уникальным свойством именно ПИЩЕВОГО ВОЗДЕРЖАНИЯ, а не простого ограничении калорий или питании по диете.
Конечно же, и здесь должен быть соблюдён баланс. Как недостаточная, так и слишком интенсивная аутофагия может навредить вам. И это понимание возвращает нас к естественному природному циклу – питанию и воздержанию, а не постоянному следованию диете. 
Это обеспечивает клеточный рост во время фазы питания и клеточное очищение во время фазы пищевой паузы, то есть, баланс. 
Жизнь – это только баланс.
Автор: доктор Джейсон Фанг, перевод Николай Кузьмин
Источник: econet.r



Комментариев нет:
Отправить комментарий